注册  |  登录

健康科普 ▏牙齿的“断头台”——楔状缺损

2023-12-08 17:17:34    来源:长治市第二人民医院订阅号    

图片图片

 小美非常注意口腔卫生

每天至少早晚两次刷牙

期待牙齿又白又亮

一笑就是人群中最闪亮的崽!

图片

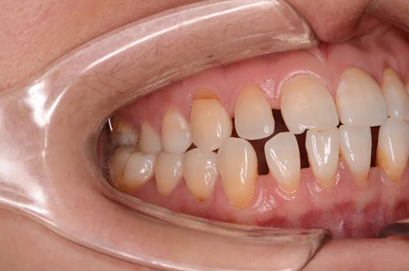
一天忽然对镜子咧嘴一笑,

却看见好多颗牙牙颈部

都有一道“深缺缺”!

图片


喝一口凉水,

吸一口冷气,

或用牙签去戳一下,

那个酸爽哟!

晴天霹雳!这是为啥嘞?


图片   


这种情况

称之为牙楔状缺损

多见于前牙或双尖的唇面

以中老年患者居多

国内有调查研究显示:

50岁左右患病率高达90%。


图片

发生了牙楔状缺损都有哪些不适呢?



楔状缺损的早期表现主要是刷牙以及进食冷、热、酸、甜食物时出现刺激性酸痛等牙本质过敏症状。随着楔状缺损越来越深,破坏会累及牙造成牙髓炎,这时可以有自发性、阵发性疼痛;若进一步发展为根尖周炎,会出现持续疼痛、咬合疼痛。有些患者可以一直没有自发疼痛的症状,直接发生牙髓坏死、根尖周炎或者牙齿从牙颈部折断,等等。


图片

什么原因导致牙齿发生楔状缺损?



图片

01


牙齿冠部与根部交界的地方是牙齿中牙釉质、牙骨质覆盖最少,甚至没有覆盖的部分,容易被磨耗。

图片

图片

02


牙颈部是牙釉质、牙骨质及牙本质三种硬组织交汇之处,容易发生应力集中。

图片

图片

03


刷牙的磨损是楔状缺损发生的主要原因之一。调查发现,从不刷牙的人很少发生楔状缺损。刷牙造成楔状缺损与使用的牙刷、刷牙的方法有关。使用的牙刷刷毛过硬、用横刷法用力刷牙等都容易造成楔状缺损。

图片

图片

04


酸的作用也是导致这一部位容易脱矿缺损的原因。造成楔状缺损的酸来源于龈沟液、唾液、食物等中的酸。

图片


图片

如何预防楔状缺损?



图片

01


要选择软毛,且刷毛尖端经过磨圆处理的牙刷。

图片

图片

02


要掌握正确的刷牙方法,千万不要使用横刷法,刷牙的力量也不宜过大。

图片

03


尽量减少摄入酸性较大的食物。

图片

04


如果有胃病反酸等,需要尽早治疗。


图片

温馨提示

图片


已经有楔状缺损时,如果缺损不大,且没有牙本质敏感的症状,可以暂时不用处理,但需密切观察;

如果缺损较大,或者有牙本质敏感的症状,需要做充填治疗,将楔状缺损修补上;

如果有了牙髓炎或根尖周炎的症状,则需要做根管治疗,有些需要在根管治疗后做牙冠修复,甚至桩核冠修复。





专家推荐

图片

图片



李灵芝

主任医师

口腔科主任



【专业特长
从事口腔临床30余年,对各类错颌畸形的矫治、种植牙及修复、各类牙列缺损、固定义齿、活动义齿及吸附性义齿的修复具有丰富的临床经验。
【学术任职】
山西省口腔医学会常务理事,山西省口腔医学会修复专业委员会、颞颌关节专业委员会副主任委员,山西省口腔医学会全科专业委员会、种植专业委员会常务委员,长治市口腔质控部主任,长治市口腔医学会副会长,长治市工伤鉴定专家组成员,长治市儿童口腔疾病综合干预项目技术指导组组长。



医生推荐

图片


图片



常炜

副主任医师

硕士研究生

口腔内科组组长


【专业特长

显微根管治疗、显微根尖手术、显微镜下复合树脂充填、活髓保存、年轻恒牙的牙髓血运重建、牙体微创美学修复、牙周疾病的规范化系统治疗。曾在北京大学口腔医院牙体牙髓专业专科培训。

【学术任职】

北京大学医学部国内访问学者、山西口腔医学会全科专业委员会常务委员、山西口腔医学会预防医学专业委员会常务委员、山西口腔医学会修复专业委员会委员、山西口腔医学会牙周专业委员会委员、长治市口腔质控部副主任委员。


科室推荐

图片

图片


长治市第二人民医院口腔科是集医疗、教学、科研及预防为一体的临床科室,占地800多平方米,现共有口腔综合治疗椅20台,便携式综合治疗椅2台,种植机2台,以及CGF真空离心机、显微根管治疗仪、超声骨刀、根管超声荡洗仪、热牙胶、EMS牙周综合治疗仪、口腔CBCT、口腔全景X光机、压膜机、哥特式弓等先进设备。

科室设有科主任一名,医护人员26名:其中主任医师1名、副主任医师9名,主治医师5名,住院医师2名;护理人员9名:其中有副主任护师1名,主管护师3名,护师5名。经过多年的发展,科室已形成一支凝聚力强、技术力量雄厚的一支团队。诊疗项目主要包括:

口腔牙体牙髓病:显微根管治疗、显微根尖手术、显微镜下复合树脂充填、活髓保存、年轻恒牙的牙髓血运重建、牙齿美白、牙体微创美学修复。

口腔牙周黏膜病牙周疾病的规范化系统治疗,对重度、复杂牙周炎患者进行以牙周专业为主导的多学科综合治疗,保留患者天然牙,开展了牙周组织再生治疗、美学区及功能区牙周成形与重建手术、种植体周围炎治疗。

口腔儿童牙病:儿童龋病;儿童牙髓病与牙髓组织再生;儿童牙外伤; 儿童牙颌发育异常等。

口腔正畸:不同年龄段各种错颌畸形的矫治(儿童口腔早期颜面管理、咬合诱导,正畸牙周联合治疗牙周病)。

口腔颌面外科:微创无痛拔牙、自体牙移植和再植、美容缝合、颌面部骨折的固定、颌面部外伤的显微缝合、口腔颌面部肿瘤切除、颞下颌关节病的诊疗等。

口腔修复:牙列缺损的活动和固定修复,HPP活动支架、隐形义齿、全瓷嵌体,全瓷冠,前牙美学全瓷贴面、马里兰桥、无牙颌的全口吸附性义齿。

口腔预防:龋病的基本预防,牙周病的早期预防,牙颌畸形预防,口腔癌的早期预防及筛查,7~9岁儿童窝沟封闭,3~6岁儿童牙齿涂氟。

口腔种植:种植导板引导下的精准种植,onlay植骨,牙周病患者的种植治疗,前牙美学区的规范化种植,超声骨刀在上颌窦底外提升中的应用,敲击式、液压式在上颌窦内提升中的联合应用,引导骨再生膜技术在种植中的应用。




图片

End



图片


国家级名医在二院丨山西医科大学第一医院冯对平教授到长治二院介入血管外科开展疑难病例会诊并深入指导工作

■高血压用药不当?见微知著,及时刹车!

■国家级名医在二院 ▏12月9日,首都医科大学附属北京积水潭医院吴新宝团队重要成员曹奇勇教授坐诊“吴新宝教授创伤骨科山西工作室”



图片

供   稿丨常   炜

编   辑丨翟艳鹏

审   核丨雷   赫


图片


[责任编辑:曹炜君]
内容页广告2
3
内容4
内容5

关于我们| 网站概况| 法律顾问| 服务条款| 人员查询| 广告服务| 供稿服务| 合作伙伴| 网站声明| 版权所有| 联系我们

邮箱:chinaweijilu@163.com    电话:18511349188

备案号:京ICP备16016777号-6

Copyright© 2016 WeiJiLu.All Rights Reserved