注册  |  登录

技术前沿 ▏一例胸腹联合贲门癌、胃窦癌(双原发癌)根治术

2023-12-03 18:48:00    来源:长治市第二人民医院订阅号    


近日,

长治二院胸外科

成功为一例

贲门癌、胃窦癌(双原发癌)患者

实施胸腹联合

根治全胃切除+食管空肠吻合术


图片


病例:


图片

47岁的李大哥,出现间断进食哽噎感3周,经外院医生介绍慕名到长治二院胸外科就诊。胃镜检查提示:贲门和胃窦两处肿瘤。病检结果示:贲门、胃窦均系低分化腺癌。



图片

图片

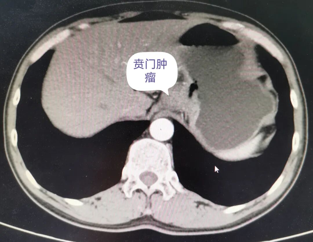
术前钡餐造影和胸部CT影像


术前诊断:1.贲门低分化腺癌;2.胃窦低分化腺癌。

胃部双原发癌国内文献报道发生率很低,不超过10%。患者正值壮年,是家里的顶梁柱,同时患上贲门和胃窦部两处高度恶性肿瘤,对整个家庭心理打击极大。王晓民主任医师手术团队给予耐心讲解开导,让他们树立信心战胜疾病。冯健副主任医师给予患者常规肺功能训练和营养支持,积极完善术前准备。

术前经过详细讨论,结合目前国内外先进技术经验,排除手术禁忌,拟定个体化手术方案。在全麻下开展胸腹联合贲门癌、胃窦癌根治全胃切除、食管胃吻合术。

整个手术过程复杂困难,王晓民主任医师带领小组在做好充足的准备和详尽的手术方案前提下,迎难而上,凭借团队扎实娴熟的外科技术成功完成手术。在全科医护人员的悉心诊治护理下,患者顺利康复出院。胸外科的精湛技术和精心服务得到了患者及家属的肯定。 

图片



本例手术难点:

患者同时患上贲门和胃窦部两处高度恶性肿瘤,贲门是在胃的入口处,胃窦部接近胃的出口幽门处,手术方式只能行全胃切除,由于患者贲门肿瘤侵犯食管下段超过3cm,单纯经腹部手术食管下段肿瘤难以切除干净,必须采取胸腹部联合切口方能完成全胃切除+空肠食管吻合术。

本例手术过程非常繁琐,单吻合口就达5处,包括食管-空肠吻合口、空肠-空肠吻合口、十二指肠残端吻合口、远近端两处空肠残端吻合口。每一个吻合口出现瘘或狭窄都会出现严重并发症,危及生命。

专家推荐



图片


王晓民

胸外科病区主任医师

病区组长

【专业特长】

擅长乳腺疾病(乳腺癌、乳腺炎、乳腺结节等)、食管癌、贲门胃体癌、肺癌、胸壁肿瘤、胸壁结核及胸部创伤疾病(肋骨骨折、血气胸)的诊治。

从事本专业工作20余年。曾在全国知名食管癌基地林州市中心医院胸外科工作多年。先后在山西省肿瘤医院、中国医学科学院北京阜外医院进修学习。


名医推荐


图片


冯健

胸外科病区副主任医师


【专业特长】

擅长腔镜下肺癌肺叶切除术、肺袖状切除术、肺结节切除、肺大泡切除术,食管癌、贲门癌切除术,胸骨肋骨骨折切开内固定术,以及相关疑难危重病人的抢救和治疗。在普外、胸外、泌尿外科疾病手术及危急重症病人抢救、疑难杂症等综合性治疗方面具有丰富的临床经验。

从事外科工作10余年,曾于山西医科大学第一附属医院、上海市肺科医院进修学习。多次参加国内的相关学术会议,在国家级及省级杂志上发表多篇论文。




科室简介



图片


长治市第二人民医院胸外科病区是在2010年外科亚专业细化以后成立的,目前开放床位25张,目前医师6人,均为高级职称,医学硕士2人。

胸外科病区诊疗范围:各类乳腺疾病、食管癌、贲门癌、肺癌、肺大疱、纵隔肿瘤、胸壁结核、胸膜肿瘤、膈疝、食管裂孔疝、严重胸部创伤疾病等。常规开展各类胸腔镜微创手术。

科室与北京阜外医院、上海胸科医院、山西省肿瘤医院、河南省林州市人民医院保持常年协作关系。



联系方式:

胸外科病区:0355-3126293

王晓民副主任:15635580772

冯健医生:15635580778

梁艳盆医生:15635580776






图片



健康科普 ▏伤口愈合发痒怎么办?长治二院烧伤科医生为您解答!

■关爱老人,老年人尿失禁要重视!

■健康科普 ▏如何战胜“痘痘” 长治二院皮肤科专家有话说

■技术前沿 | 银屑病患者治疗20年无果,直到来到长治二院重见曙光!

■生死竞速!爱“心”奇迹 长治二院心血管内科成功救治急性心肌梗死患者



图片

供   稿丨王晓民  冯健

编   辑丨翟艳鹏

审   核丨雷   赫


图片


[责任编辑:曹炜君]
内容页广告2
3
内容4
内容5

关于我们| 网站概况| 法律顾问| 服务条款| 人员查询| 广告服务| 供稿服务| 合作伙伴| 网站声明| 版权所有| 联系我们

邮箱:chinaweijilu@163.com    电话:18511349188

备案号:京ICP备16016777号-6

Copyright© 2016 WeiJiLu.All Rights Reserved