注册  |  登录

让癌症诊疗更精准!又一“查癌神器”落户和平医院!

2023-10-17 18:11:44    来源:长治医学院附属和平医院官方号    

 图片

长治医学院附属

和平医院

关注

图片

好消息!

我院核医学科 PET/CT 开机了!!

PET-CT自面世就号称“查癌神器”,

一次显像可获得全身各方位的断层图像

“灵敏、准确、定位精确”

那它到底有哪些厉害之处?

让我们一起看看它的真面目。

PET-CT是台什么样的设备?



PET全称为正电子发射型计算机断层显像仪(positron emission tomography ,PET),是反映病变的基因、分子、代谢及功能状态的显像设备。PET显像利用的是“示踪技术”。CT即X射线电子计算机断层显像仪,是利用X射线穿过人体进行解剖成像。PET/CT作为融合一体机,通过采用图像融合技术,同时具有PET、CT及将PET图像与CT图像融合等功能,PET与CT优势互补,“1+1>2”。


其原理是将标记有正电子放射性核素的药物(¹⁸F-FDG等)引入人体后,药物会高度选择性聚集在病变器官或组织,在体外利用PET/CT可探测其在全身脏器的分布情况,再结合同机CT的精确定位,同时显示出人体各器官的生理代谢情况和解剖结构,有利于疾病的早期诊断和全面评估,提高了疾病诊断的准确性。

图片

我院引入的西门子PET-CT仪器(Biograph mCT Flow),可以在不影响图像质量的情况下,降低显像剂用量,降低患者的检查时间,大大提高受检者的体验度。


西门子PET-CT的引入将助力我院在肿瘤、心血管、神经系统等疾病诊疗能力并提升我院的科研水平,在这个融合断层分子影像时代,让解剖和功能代谢融合的分子影像检查更好服务于患者、服务于临床。

哪些情况可以进行PET/CT检查?



1

在肿瘤诊断、治疗中应用

◾ 鉴别良恶性肿瘤,指导活检

◾ 恶性肿瘤的临床分期

◾ 恶性肿瘤放化疗疗效预测和评估

◾ 肿瘤治疗后坏死、纤维化与残存或复发的鉴别

◾ 已发现转移灶,寻找肿瘤原发灶

◾ 指导制定放疗计划、勾画放疗靶区

◾肿瘤标志物异常增高、有肿瘤家族史者、肿瘤高危人群(长期职业暴露史如粉尘、有害气体等)人群早期发现肿瘤

◾肿瘤治疗新药与新技术的客观评价

图片

右肺癌伴多发全身转移

图片

食管癌伴淋巴结、骨、肝脏转移

图片

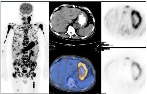
胃癌全身广泛转移

图片

淋巴瘤化疗前后对比

图片

鼻咽癌

图片

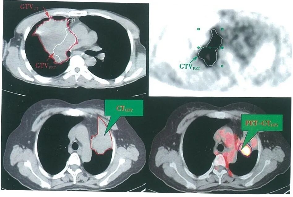
肺癌伴肺不张靶区勾画

图片

多起源食管癌

图片


图片

女性,37岁,左乳癌术后转移再分期。

显示纵隔、双肺门、左上胸壁转移灶部位多个异常代谢明显增高区。

图片

观察疗效

More

2

在感染或炎性病变中的应用

◾ 炎症性或感染性疾病的诊断及评估,如结节病、大血管炎、骨骼肌肉感染等

◾ 假体或植入物相关并发症

◾ 其他多系统疾病,如IgG4相关性疾病等

◾ 不明原因发热患者

图片

多软骨炎导致不明原因发热


图片

主动脉支架植入后感染


3

在神经系统中的应用

◾ 癫痫病灶的定位诊断、术后效果评估

◾ 脑占位性病变的诊断和鉴别诊断

◾ 脑瘤复发与治疗后继发改变的鉴别

◾ 短暂性脑缺血发作与脑梗死的早期定位、疗效评价和预后判断


4

在心血管系统的应用

◾检测心肌梗死后梗死区有无存活心肌


PET/CT检查有哪些注意事项

1

PET/CT检查前:

禁食:检查前严格禁食6小时以上,饮白开水不受限制,但禁饮含糖、酒精及咖啡类饮料;检查前一天选择高蛋白/低碳水化合物的食物,如肉蛋类(牛肉、鸡肉、鱼肉、鸡蛋),不要过量进食淀粉类食物(大米、面条、馒头、稀饭、土豆等)。

◾禁运动:检查前一天尽量减少高强度运动和重体力劳动,如不要长距离快速步行、不要按摩,保证良好休息,以避免出现肌肉过度摄取显像剂,或是局部运动损伤所引起的摄取显像剂,从而影响疾病的诊断。

◾血糖控制:受检者最好将血糖浓度控制在<6.1mmol/L,糖尿病患者检查前可正常服用降糖药,注意空腹血糖值<8.3mmol/L为佳,最高不超过11.1mmol/L。糖尿病患者检查前几日应测量血糖,控制在11.1mmol/L以下。

衣着要求:检查当天,请您尽量穿着舒适、宽松的衣物。内衣上不能有任何金属,请勿佩戴金属、玉器等饰物。若有义齿、心脏起搏器、金属植入物等请告知工作人员,可能会对图像产生一些伪影,但一般不影响诊断。

量身高、称体重、测血糖。

药物及治疗相关:检查前1周内不能做钡餐透视;肿瘤患者穿刺、注射升白针后,需要延迟一周后进行检查,化疗间隔1个月;术后间隔6周,放疗间隔3个月。检查前12小时内禁止输含糖液体;糖尿病患者提前3-5天停止服用二甲双胍、中长效胰岛素,并在检查前提前调整血糖水平、严密监测血糖情况,并提前与医生联系以确保检查当日检查顺利进行(血糖水平应≤ 11.1 mmol/L);有慢性疾病且长期服药(如降压药、降脂药、止痛药等)患者,请在检查当天随身携带药物,并遵医嘱服药。


2

PET/CT检查中:

◾注射显像剂后,请在注射后候诊室安静等待约1小时。期间注意休息和保暖,不要走动、避免交谈及看手机、电视,切勿自行进食。否则会影响图像。

◾等候期间需多饮水(不少于500毫升),多排小便,小便时应避免尿液污染衣物;进入PET/CT检查室前听从工作人员指令需再次饮水约300毫升。

◾上机检查前患者一定要排空膀胱,去除手机、手表、皮带、首饰等含金属的随身物品。

◾上机检查时间约20分钟,受检者平躺在检查床上,全程应保持身体不要移动,按语音提示控制呼吸,身体的移动会影响图像质量。

◾如患者身体出现不适,及时通过候诊处对讲装置告知工作人员,立即进行处理。

◾婴幼儿及无行为能力患者需要家属(穿防护服)配合检查。但禁止备孕、孕妇或儿童陪同。


3

PET/CT检查后

◾检查结束后在留观室休息,等待工作人员发出指令后方可离开;必要时需再次上机行延迟显像。

◾诊断剂量的放射性药物对受检者及周围人无健康影响,但请24小时内不要接触孕妇、婴幼儿及哺乳期妇女。

◾检查后多饮水,多排尿,以促进放射性药物尽快从体内排出。

核医学 PET-CT 显像检查流程

图片

核医学科预约电话:

0355-3128447或15525174225


PET-CT电话:

0355-3128668


  责编 | 贾   灏

  初审 | 韩晓晶

  复审 | 赵志艺

  终审 | 段   炼

 

图片

和平服务 | 10月门诊专家出诊详情,建议收藏~

和平医院最新挂号攻略来啦!
看病不知道挂哪个科,超实用挂号攻略,快收藏好⁓
和平技术 | 患者怕“麻”烦,“催眠大师”这么做~
和平医院 | 月子期间上手术台 医生为她开颅“拆弹”
灿烂奔赴 | 有待遇更有舞台 和平医院常年招聘博士
图片


[责任编辑:曹炜君]
内容页广告2
3
内容4
内容5

关于我们| 网站概况| 法律顾问| 服务条款| 人员查询| 广告服务| 供稿服务| 合作伙伴| 网站声明| 版权所有| 联系我们

邮箱:chinaweijilu@163.com    电话:18511349188

备案号:京ICP备16016777号-6

Copyright© 2016 WeiJiLu.All Rights Reserved